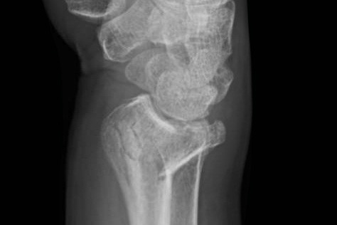
The wrist fracture. Colles fracture.
This content is only available in Catalan and Spanish.
Sorry for the inconvenience
This content is only available in Catalan and Spanish.
Sorry for the inconvenience